Par Julien FRITZ, DipECVDI, spécialiste en imagerie médicale
L’insulinome est une tumeur neuro-endocrine peu fréquente, rencontrée chez le chien et le furet et de façon beaucoup plus rare chez le chat.
Les signes cliniques d’insulinome les plus fréquents sont une faiblesse, des crises convulsives et des changements de comportements. Dans près d’un tiers des cas, l’examen neurologique est anormal (1).
La biochimie de base révèle une hypoglycémie sur échantillon sanguin analysé immédiatement après prélèvement pour éviter une consommation artéfactuelle. La suspicion est renforcée par plusieurs dosages de glycémie faibles, mais la confirmation se fait par dosage de l’insulinémie sanguine, la plupart du temps externalisée en laboratoire vétérinaire. Le diagnostic est alors posé par une hyperinsulinémie.
Il y a une différence significative d’espérance de vie concernant la prise en charge, le traitement chirurgical offrant une médiane de survie rapportée de 20 mois, contre 8 mois en cas de traitement médical seul (1).
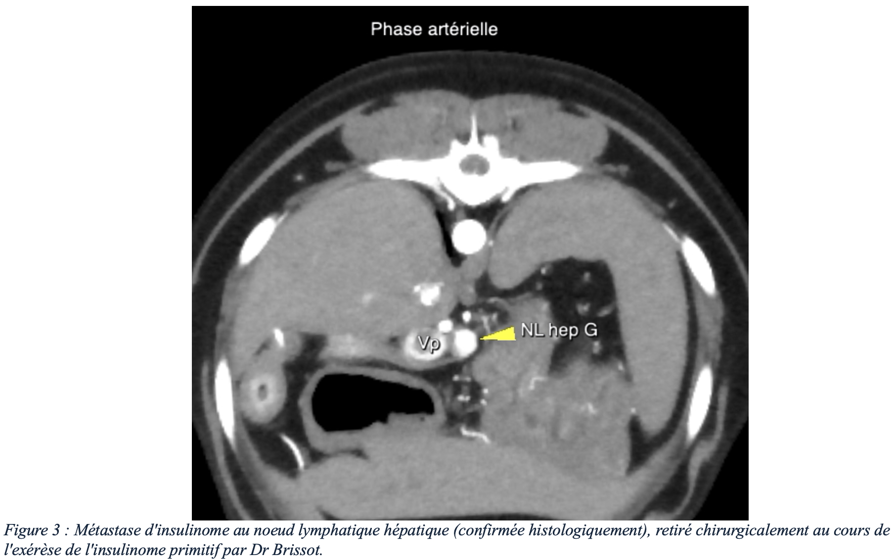
En tant que tumeur neuroendocrine, l’insulinome est quasiment systématiquement une tumeur maligne avec possibilité de dissémination métastatique. Les sites de métastases les plus fréquents sont les nœuds lymphatiques de drainage (notamment hépatiques, spléniques et coliques) et le foie. La présence de métastase est le seul critère pronostic négatif mis en évidence.
Dans ce cadre, afin d’aider le propriétaire dans son choix thérapeutique, les examens d’imagerie ont une place importante.
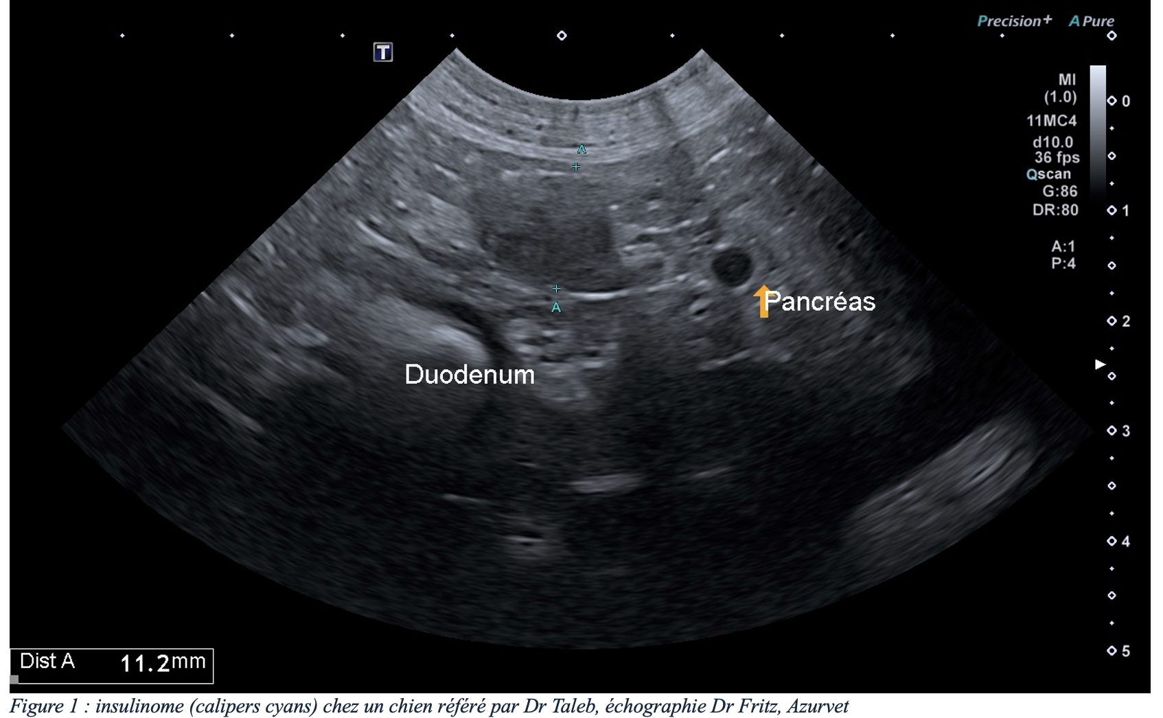
L’échographie est un examen de première intention pour l’exploration d’un insulinome. La sensibilité de l’échographie dépend de l’expérience du manipulateur, mais aussi de la conformation de l’animal (l’examen du pancréas est limité sur des chiens de grande taille et/ou avec cage thoracique profonde). Un insulinome peut se présenter dans la plupart des cas comme un nodule unique hypoéchogène de taille variable (figure 1), et de façon moins fréquente comme des nodules multiples ou une zone irrégulière plus diffuse du pancréas (2) – noter que ces lésions ne sont pas spécifiques d’un insulinome et que tout autre nodule bénin ou malin du pancréas peut avoir cette apparence et donc que la suspicion clinique/biologique est cruciale. L’échographie permet également une évaluation des nœuds lymphatiques et du foie pour un premier bilan d’extension.

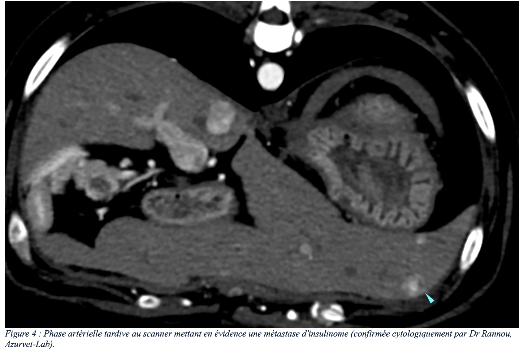
Le scanner, et plus particulièrement la phase artérielle tardive d’un angioscanner (3) (figure 2), est un examen présentant une sensibilité nettement supérieure à l’échographie (4). En effet, les insulinomes et leurs métastases présentent un rehaussement intense et précoce après injection intraveineuse de contraste iodé, permettant une détection plus fiable des insulinomes et leurs éventuelles métastases (bien que des faux positifs soient possibles), tout en s’affranchissant des limites liées au gabarit de l’animal (figures 3 et 4). Les angioscanners peuvent être effectués manuellement, mais les injecteurs automatiques de contraste facilitent la partie technique de cet examen (figure 5).




Dans tous les cas, l’inspection du pancréas, des nœuds lymphatiques et du foie par un chirurgien expérimenté au moment de la chirurgie reste essentielle pour détecter des lésions suspectes qui n’auraient pas été mises en évidence par imagerie.
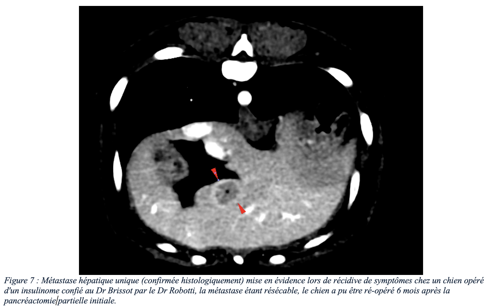
De l’expérience à Azurvet, certains animaux ont connu une première prise en charge chirurgicale couronnée de succès avec retour à une activité normale de l’animal. Certains de ces animaux ont même connu une récurrence des symptômes plusieurs mois après la chirurgie initiale, les examens d’imagerie ont ensuite mis en évidence un développement de récidive locale (figure 6) ou développement de métastases ganglionnaires et/ou hépatiques résécables (figure 7) permettant une seconde intervention, augmentant considérablement l’espérance de vie avec un confort satisfaisant.


- Ryan D, Pérez-Accino J, Gonçalves R, Czopowicz M, Bertolani C, Tabar MD, Puig J, Ros C, Suñol A. Clinical findings, neurological manifestations and survival of dogs with insulinoma: 116 cases (2009-2020). J Small Anim Pract. 2021 Jul;62(7):531-539. doi: 10.1111/jsap.13318. Epub 2021 Mar 16. PMID: 33724496.
- Penninck D. and Anjou M.-A. Atlas of small animal ultrasonography 8th edition, 2025
- Skarbek A, Fouriez-Lablée V, Dirrig H, Llabres-Diaz F. Confirmed and presumed canine insulinomas and their presumed metastases are most conspicuous in the late arterial phase in a triple arterial phase CT protocol. Vet Radiol Ultrasound. 2023 Sep;64(5):834-843. doi: 10.1111/vru.13278. Epub 2023 Jul 26. PMID: 37496364.
- Robben JH, Pollak YW, Kirpensteijn J, Boroffka SA, van den Ingh TS, Teske E, Voorhout G. Comparison of ultrasonography, computed tomography, and single-photon emission computed tomography for the detection and localization of canine insulinoma. J Vet Intern Med. 2005 Jan-Feb;19(1):15-22. doi: 10.1892/0891-6640(2005)19<15:coucta>2.0.co;2. PMID: 15715042.